At Ponderosa Dental Group in Missoula, we understand the impact missing teeth can have on your confidence, oral function, and overall health. Dental bridges are a reliable solution to restore both the appearance and function of your smile.
Designed to seamlessly fill the gaps left by one or more missing teeth, our bridges are custom-crafted using high-quality zirconia to ensure durability, comfort, and a natural look.
Whether you are missing a single tooth or multiple teeth, our team, led by Dr. Dan McFarland, DDS, can help you regain your smile with precision and care. Call us today to find out more and whether you could benefit from dental bridges.
What Are Dental Bridges?
Dental bridges are prosthetic restorations used to replace missing teeth by “bridging” the gap between healthy adjacent teeth or dental implants. Bridges typically consist of one or more caps, known as pontics, which are anchored to the surrounding natural teeth or implants.
By restoring missing teeth, dental bridges not only improve the appearance of your smile but also help maintain the proper alignment of your remaining teeth, prevent bite issues, and support overall oral health. Our bridges are designed to blend seamlessly with your existing teeth, giving you a confident, natural-looking smile.
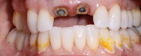
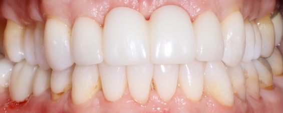
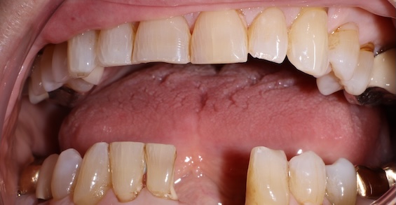
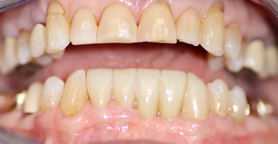
Before & After images From Real Cases
Benefits of Dental Bridges
Dental bridges offer both cosmetic and functional benefits for patients in the Missoula area, such as:
Cosmetic Benefits
- Natural Appearance: Bridges are custom-designed to match the shape, size, and color of your natural teeth, creating a seamless and attractive smile.
- Restored Confidence: Filling gaps from missing teeth allows you to smile, speak, and eat without feeling self-conscious.
Functional Benefits
- Improved Chewing and Speech: Bridges restore the ability to bite and chew efficiently, which can also enhance speech clarity.
- Prevent Teeth Shifting: Replacing missing teeth prevents adjacent teeth from moving out of position, maintaining proper dental alignment.
- Jawbone and Bite Support: Bridges help distribute bite forces evenly, reducing strain on your jaw and preventing future dental complications.
Dental bridges are an excellent way to protect your long-term oral health while enhancing your smile. If you want to experience the advantages of dental bridges, call our dental team today to schedule an appointment.You can learn more about how Invisalign can benefit you personally by calling Ponderosa Dental Group. We can even show you what your smile will look like after Invisalign during our consultation.
Types of Dental Bridges: Traditional vs Implant-Based
At Ponderosa Dental Group in Missoula, we offer two main types of dental bridges to meet the unique needs of our patients:
Traditional Dental Bridges
Traditional bridges are supported by natural teeth on either side of the missing tooth or teeth. The adjacent teeth are carefully prepared to act as anchors for the bridge. This type of bridge is ideal for patients who have strong, healthy neighboring teeth and are seeking a durable solution.
Implant-Based Dental Bridges
Implant-supported bridges use dental implants to anchor the bridge instead of natural teeth. This approach preserves more of your natural tooth structure and offers superior long-term stability. Implant-based bridges are especially beneficial for patients missing multiple consecutive teeth, as they do not rely on surrounding teeth for support.
Our team will evaluate your oral health and recommend the type of bridge that will provide the right function and aesthetics for your smile.

Who Is the Ideal Candidate for a Dental Bridge?
Dental bridges may be recommended for patients who:
- Are missing one or more teeth and wish to restore their smile
- Have healthy teeth or dental implants to support the bridge
- Want a long-lasting solution that maintains bite alignment
- Prefer a durable, natural-looking restoration crafted from high-quality zirconia
During a consultation at Ponderosa Dental Group, Dr. McFarland will evaluate your oral health, discuss your goals, and create a personalized treatment plan to ensure optimal results.
Treatment Process for Dental Bridges
Our dental bridge process at Ponderosa Dental Group is designed to maximize comfort and convenience for our patients. All restorations are made from zirconia for durability and a natural appearance.
Step 1: Initial Consultation and Preparation:
We begin with a comprehensive dental exam and digital imaging to assess your oral health and determine the ideal type of bridge. If tooth extractions are needed, we can place a temporary bridge the same day to maintain function and aesthetics.
Step 2: Temporary Bridge:
A temporary bridge is crafted to protect your gums and adjacent teeth while your permanent zirconia bridge is being fabricated. This temporary restoration allows you to eat, speak, and smile comfortably during the healing and preparation phase.
Step 3: Permanent Bridge Placement:
Once your permanent zirconia bridge is ready, we remove the temporary bridge and carefully place the final restoration. The bridge is adjusted to ensure a precise fit, proper bite, and natural appearance.
Patients in Missoula appreciate the seamless transition from temporary to permanent, providing immediate confidence and functionality.
Step 4: Ongoing Care:
We provide guidance on maintaining your bridge, including brushing, flossing, and scheduling regular dental checkups. With proper care, a dental bridge from Ponderosa Dental Group can last for many years.

Why Choose Ponderosa Dental Group for Dental Bridges?
At Ponderosa Dental Group, we combine expertise, advanced technology, and a patient-centered approach to deliver exceptional dental bridge care.
Choosing Ponderosa Dental Group means investing in a smile that looks natural, feels comfortable, and restores full function.
What Our Patients Are Saying About Dental Bridges in Missoula, MT
At Ponderosa Dental Group, patient feedback is essential to our approach. Many patients report increased confidence, improved oral function, and satisfaction with the natural look of their zirconia bridges.
Our focus on individualized care ensures that each patient feels supported throughout the treatment process. Hearing from other patients can help you feel more comfortable taking the next step toward restoring your smile.
“Outstanding! This has been the best dental experience in my 40+ years. Some highlights include; great communication and service from the admin. team, pleasant and thorough routine visits, the latest in dental technology, and of course, Dr. Dan is the best. An outstanding, upbeat team that I look forward to continuing my relationship with.”
– Perry Alan
Frequently Asked Questions: Bridge Basics and Beyond
Our patients in Missoula often have questions about dental bridges. Here, we answer some of the most common inquiries to help guide your decision.
How Long Do Dental Bridges Last?
With proper care, zirconia bridges can last 10–15 years or longer, providing a durable and reliable solution for missing teeth.
Is the Dental Bridge Procedure Painful?
We use local anesthesia and gentle techniques to ensure your comfort during both preparation and placement. Any post-procedure discomfort is typically mild and manageable.
Can Bridges Be Placed Immediately After a Tooth Extraction?
Yes, temporary bridges can be placed on the same day as an extraction, protecting your smile while your permanent restoration is made.
How Do I Care for My Dental Bridge?
Daily brushing, flossing, and routine dental visits help maintain your bridge and surrounding teeth. Special flossing tools may be recommended to clean beneath the pontic.
Will My Dental Bridge Look Natural?
Absolutely. Zirconia bridges are custom-made to match your teeth in color, shape, and size, ensuring a seamless appearance.
Call Today for a Brighter, Whiter Smile
At Ponderosa Dental Group, we know the power of a smile. We want you to love your smile. Are you ready to take the next step? Perfect! We are here to help, whether you want to come in for an office visit or get a take-home whitening kit. Call for your appointment today.





