Do you dream of a beautiful, flawless smile? Dental veneers might be the perfect solution for you! Veneers are custom-made shells that adhere to the front of your teeth, enhancing their shape, color, or length. At Ponderosa Dental Group in Missoula, Dr. Dan specializes in helping you achieve a stunning, natural-looking smile with veneers tailored to your unique needs.
Schedule your consultation today and take the first step toward the smile you’ve always wanted!
What Are Veneers?
Dental veneers are very thin, custom-made coverings that attach to the surface of your teeth to improve the overall look and feel of your smile. These shells are bonded permanently to the front of your teeth, creating an instant transformation without invasive dental treatments. Veneers are one of the quickest ways to improve several aspects of your smile’s appearance at the same time.
What Do Veneers Fix?
Veneers change how you feel about your smile. If you don’t like something, there’s a good chance veneers can fix it! Whether you have a small chip, one discolored tooth, a minor misalignment—veneers can correct many cosmetic dental issues.
Here are some common issues that veneers can help fix:
Discolored Teeth
Whether due to aging, certain medications, root canal infections, or lifestyle factors like coffee or tobacco, veneers can mask stains and discoloration that don’t respond to traditional teeth whitening.
Chipped or Cracked Teeth
A minor chip or crack in a tooth can affect your entire smile’s appearance. Veneers provide a seamless solution, covering the damage and restoring the natural look of the tooth.
Misaligned or Uneven Teeth
If you have minor misalignment or uneven teeth but don’t want to go through orthodontic treatment, veneers can create a more uniform appearance.
Gaps Between Teeth
Veneers are an excellent option for closing gaps between teeth, offering a more balanced and harmonious look.
Worn Teeth
As we age, teeth can wear down due to grinding or general use. Veneers can restore a youthful shape and length to your teeth, helping you regain a vibrant smile.
Whether you’re looking to correct a single flaw or enhance multiple aspects of your smile, veneers provide a tailored solution that can help you feel confident every time you show off your smile.
What Do Veneers Fix?
Discolored Teeth:
Whether due to aging, certain medications, root canal infections, or lifestyle factors like coffee or tobacco, veneers can mask stains and discoloration that don’t respond to traditional teeth whitening.
Chipped or Cracked Teeth:
A minor chip or crack in a tooth can affect your entire smile’s appearance. Veneers provide a seamless solution, covering the damage and restoring the natural look of the tooth.
Misaligned or Uneven Teeth:
If you have minor misalignment or uneven teeth but don’t want to go through orthodontic treatment, veneers can create a more uniform appearance.
Gaps Between Teeth:
Veneers are an excellent option for closing gaps between teeth, offering a more balanced and harmonious look.
Worn Teeth:
As we age, teeth can wear down due to grinding or general use. Veneers can restore a youthful shape and length to your teeth, helping you regain a vibrant smile.
Customizing Your Smile With Veneers
Veneers aren’t an all-or-nothing solution. You can opt to have a single veneer placed if you’re looking to correct one tooth, or you can transform your entire smile with a full set. Each veneer is customized to match your desired color, shape, and size, giving you the freedom to create the smile you’ve always wanted. Dr. Dan takes the time to understand your aesthetic preferences, working closely with you to ensure a result that you’ll love.
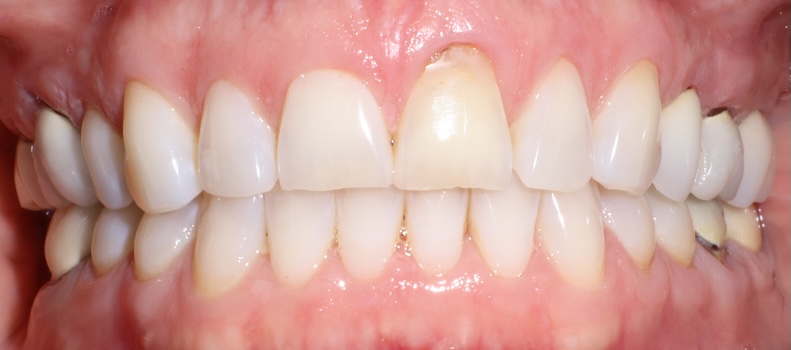
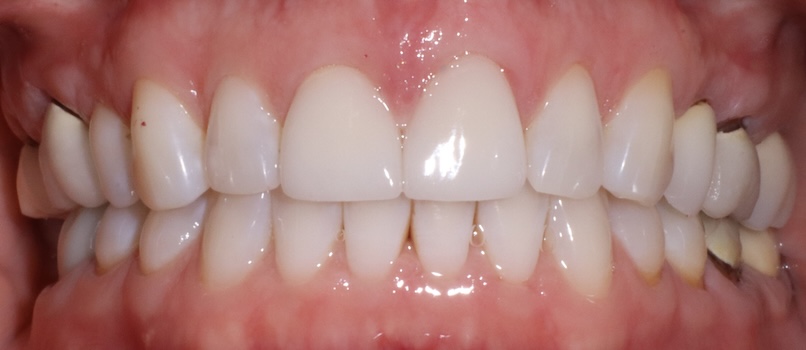
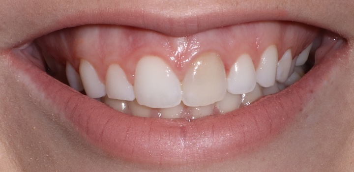
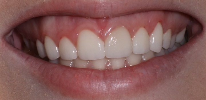
Before & After images From Real Cases
Porcelain vs. Composite Resin
Veneers are made from either porcelain or composite resin, both of which offer unique benefits:
Porcelain Veneers
Known for their natural-looking finish, porcelain veneers are highly durable and resistant to staining. They closely mimic the light-reflecting properties of natural teeth, making them the preferred choice for those seeking a truly seamless smile transformation. Porcelain veneers are often ideal for patients looking to address more significant cosmetic concerns, such as multiple teeth with discoloration or a complete smile makeover. They generally last between 10 to 15 years with proper care, making them a long-term investment in your smile.
Composite Resin Veneers
Composite veneers can be applied directly to the teeth during a single appointment, making them a faster option for patients looking for immediate results. While they are less expensive than porcelain veneers, they are not as stain-resistant and may require touch-ups over time. Composite veneers are a great choice for minor corrections or for those seeking a more cost-effective solution. With regular maintenance and care, composite veneers can still provide a beautiful and natural-looking result.
Dr. Dan will help you decide which type of veneer is right for you based on your goals, budget, and specific dental needs. Whether you choose porcelain or composite, you’ll leave with a smile that’s designed to last.
Free Virtual Consultations
At Ponderosa Dental Group in Missoula, we believe everyone deserves a smile they love, and getting started on your journey to a beautiful smile is easier than ever with our free virtual consultation. Simply upload photos of your teeth and share with Dr. Dan what you’d like to change.
Through our virtual consultation, we will send you before and after photos of work that’s been done to show you what’s possible, along with a customized video where you can see Dr. Dan before coming into the office. It’s all free! Sign up for a virtual appointment today via the Smile Virtual app and take the first, convenient step toward your dream smile!
Why Do People Choose Veneers?
Veneers are a popular choice for many reasons, including these many benefits:

- Natural Appearance: Porcelain veneers are known for their ability to mimic the natural translucency and reflectivity of real teeth. This means that your new smile will look as natural as it feels, blending seamlessly with your existing teeth.
- Cost-Effective Solution: While the initial investment may seem significant, veneers can be a more cost-effective option in the long run. They offer a durable and low-maintenance solution to common dental concerns, reducing the need for future touch-ups or treatments. They also less costly than crowns or implants.
- Low Maintenance: Caring for your veneers is simple. Maintain good oral hygiene by brushing twice daily, flossing after meals, and using an antiseptic mouthwash. Regular dental cleanings every six months are also crucial for keeping your veneers in top condition.
- Boosts Self-Esteem: Studies have shown that smiling more often can improve your mood and overall well-being. With a beautiful set of veneers, you’ll find more reasons to smile every day.
- Youthful Appearance: Our teeth naturally wear down and discolor as we age. Veneers can restore a bright, even appearance, helping you maintain a youthful glow.
- Enhanced Aesthetics: A bright, even smile can boost your confidence and make a positive first impression.
- Improved Oral Function: In some cases, veneers can enhance your bite or make chewing more comfortable.
- Long-Lasting Results: With proper care, veneers can last many years, providing a durable way to maintain a beautiful smile.
- Minimally Invasive Solution: Veneers require less tooth preparation than other restorative options like crowns, making them a great choice for those who prefer a more conservative approach.
Comparing Veneers to Other Cosmetic Options
When it comes to enhancing your smile, several cosmetic treatments are available, each with unique benefits. Teeth whitening, for example, is a popular option for lifting surface stains, but it may not address deep discoloration or other aesthetic concerns. Bonding is another alternative, ideal for minor repairs like chips or slight gaps, but it typically doesn’t offer the same durability or long-lasting results as veneers.
Veneers provide a more comprehensive approach by addressing multiple concerns simultaneously, from color and shape to alignment and spacing. They are also crafted to last many years with proper care, making them an excellent long-term investment for those seeking a full smile transformation. For patients who want a flawless, customized result that addresses several cosmetic goals in one treatment, veneers are often the best choice.
Patient Experiences
“My teeth feel so great after Dr. Dan repaired a few chips!!!! Thanks everyone for always being so lovely!”
– Jamie L
How Are Veneers Installed?

The dental veneer process is a little different for every patient. The exact timeline depends on the number of veneers, the type of veneers, and the level of preparation needed before the veneers are placed.
You can generally expect the veneer procedure to be completed in two appointments at your Missoula Ponderosa Dental office.
The journey to a new smile with veneers is typically completed in a few straightforward steps. Here’s what you can expect during your veneer treatment at Ponderosa Dental Group:
1
Consultation & Examination
During your initial consultation, Dr. Dan will assess your oral health and discuss your smile goals. This is the time to share your vision, ask questions, and learn about the types of veneers available. If you’re a good candidate for veneers—meaning you have healthy teeth and gums and sufficient enamel—we can move forward with the process.
2
Preparation
To ensure a proper fit, a thin layer of enamel, roughly the size of the veneer shell, is removed from the front of the tooth. This allows the veneer to sit naturally and blend with your other teeth. This step is typically painless, but a local anesthetic can be used to ensure your comfort.
3
Impressions & Customization
After preparation, Dr. Dan will take impressions of your teeth. These molds are sent to a specialized dental lab where your custom veneers are crafted. This process takes a few weeks, during which you may be given temporary veneers to protect your prepared teeth.
4
Bonding the Veneers
Once your custom veneers are ready, you’ll return to our office for the bonding process. Dr. Dan will place the veneers on your teeth to check the fit and color, making any adjustments as needed. After ensuring a perfect match, he will bond the veneers to your teeth using a special adhesive, solidifying your new smile.
5
Followup Care
After your veneers are bonded, we’ll schedule a follow-up appointment to ensure that everything is fitting comfortably and that you’re satisfied with the results. From there, it’s all about maintaining good oral hygiene and enjoying your stunning new smile!
With your dental veneers in place, it’s time to enjoy your smile!
Tips For Maintaining Your Dental Veneers
Invisalign is a great alternative to braces for many different kinds of smiles—from minor dental cases like crooked teeth to more serious issues involving dental malocclusion. Invisalign can help fix:
Avoid Hard or Sticky Foods
While veneers are durable, it’s best to avoid biting directly into hard foods like ice, nuts, or sticky candies that could damage the veneer.
Wear a Mouth Guard
If you grind or clench your teeth, wearing a custom mouthguard can help protect your veneers from damage.
Regular Dental Checkups
Visit Dr. Dan every six months for routine cleanings and checkups to ensure your veneers remain in excellent condition.
Use Non-Abrasive Toothpaste
Choose a toothpaste that’s non-abrasive to avoid scratching the surface of your veneers.
Are Veneers Right For You?
While veneers are an excellent option for many, it’s important to consider whether they align with your individual needs and lifestyle. Here are a few factors to keep in mind:
Healthy Teeth and Gums:
Veneers work best for patients with healthy teeth and gums, as they are a cosmetic solution rather than a restorative treatment. If you have gum disease or untreated tooth decay, these issues will need to be addressed before proceeding with veneers.
Adequate Enamel:
Some enamel must be removed to place veneers, so it’s important to have enough healthy enamel for this process. If you’ve experienced significant enamel erosion, Dr. Dan will evaluate other cosmetic options that may be more suitable for you.
Commitment to Good Oral Hygiene:
Veneers require ongoing care, just like your natural teeth. Commitment to brushing, flossing, and regular dental checkups will help keep your veneers in top shape.
Desire for a Long-Term Solution:
While veneers can last many years, they are considered a long-term solution. If you’re looking for a temporary change, other options like bonding or whitening may be better suited to your needs.
During your consultation at Ponderosa Dental Group, we’ll evaluate your oral health, discuss your smile goals, and determine if veneers are the right choice for you. Our goal is to ensure you feel confident and informed about your decision.
Heather’s Veneers Treatment Helped Strengthen Her Breaking and Cracking Teeth
Dental Veneer FAQs
How many visits do dental veneers require?
The veneer process typically takes two visits. During the first visit, we prepare your teeth and take impressions. The second visit involves placing the veneers and bonding them to your teeth. After that, maintaining good oral hygiene and attending regular cleanings will help keep your veneers looking great.
What are porcelain veneers?
Porcelain veneers are one type of dental veneer. Veneers can also be made out of composite resin.
How long do veneers last?
With proper care, porcelain veneers can last 10–15 years, sometimes even longer. Composite resin veneers may have a slightly shorter lifespan but are also a durable option with the right maintenance.
How much do veneers cost?
The cost varies depending on the type and number of veneers you get. Dental veneers are considered a cosmetic procedure and are not covered by insurance.
Are veneers worth it?
The cost varies depending on the type and number of veneers you get. Dental veneers are considered a cosmetic procedure and are not covered by insurance.
Can I eat normally with veneers?
Yes! Veneers are designed to function just like your natural teeth. After an initial adjustment period, you should be able to eat and drink as usual. Just remember to avoid overly hard or sticky foods that could damage the veneers.
Are veneers reversible?
Veneers are considered a permanent cosmetic solution because some enamel must be removed to place them. While the procedure can’t be undone, you can always update your veneers with new ones if needed in the future.
Ready to Transform Your Smile? Contact Us Today!
A bright, confident smile can enhance your self-esteem and overall quality of life. With dental veneers, you can achieve the smile you’ve always dreamed of in just a few visits. Reach out today to schedule a consultation with Dr. Dan and discover how Ponderosa Dental Group can make your vision a reality. Let’s work together to create a radiant new smile you’ll love to share!













