Are you ready for a straight, beautiful smile? Do you worry about how orthodontics will look? Great news! Invisalign® Clear Braces are a great, discreet way to straighten your teeth and give you that beautiful smile you have always wanted.
These innovative aligners are custom-made, removable, and crafted from clear plastic, making them nearly invisible to others. With Invisalign, you can transform your smile comfortably and confidently by replacing your aligners each week until your treatment is complete.
We invite you to visit Ponderosa Dental Group or call our office to learn more about Invisalign or schedule a consultation.

What Is Invisalign?
Invisalign aligners are custom-made, clear plastic trays designed to gradually straighten your teeth. Each set of aligners is fabricated specifically for your unique dental structure and gently shifts your teeth into the desired positions over time. These aligners are made from BPA-free plastic, making them smooth, invisible, and snug over your teeth. Patients switch to a new set of aligners approximately every week to two weeks to continue the progress of their treatment. Dr. Dan ensures each step of your Invisalign process is handled with precision and care.
What Types of Issues Does Invisalign Fix?
Invisalign is a great alternative to braces for many different kinds of smiles—from minor dental cases like crooked teeth to more serious issues involving dental malocclusion. Invisalign can help fix:
Overbites
When the upper teeth significantly overlap the lower teeth.
Underbites
When the lower teeth extend beyond the upper teeth.
Open Bites
When the upper and lower teeth do not meet when the mouth is closed.
Crossbites
Misalignment where some upper teeth sit inside the lower teeth.
Crowded Teeth
When teeth overlap due to insufficient space in the jaw.
Gapped Teeth
Visible spaces or gaps between teeth.
No matter the issue, Invisalign’s customized aligners can help create a balanced, beautiful smile tailored to your needs. Contact Ponderosa Dental Group today to discuss how Invisalign can transform your smile.
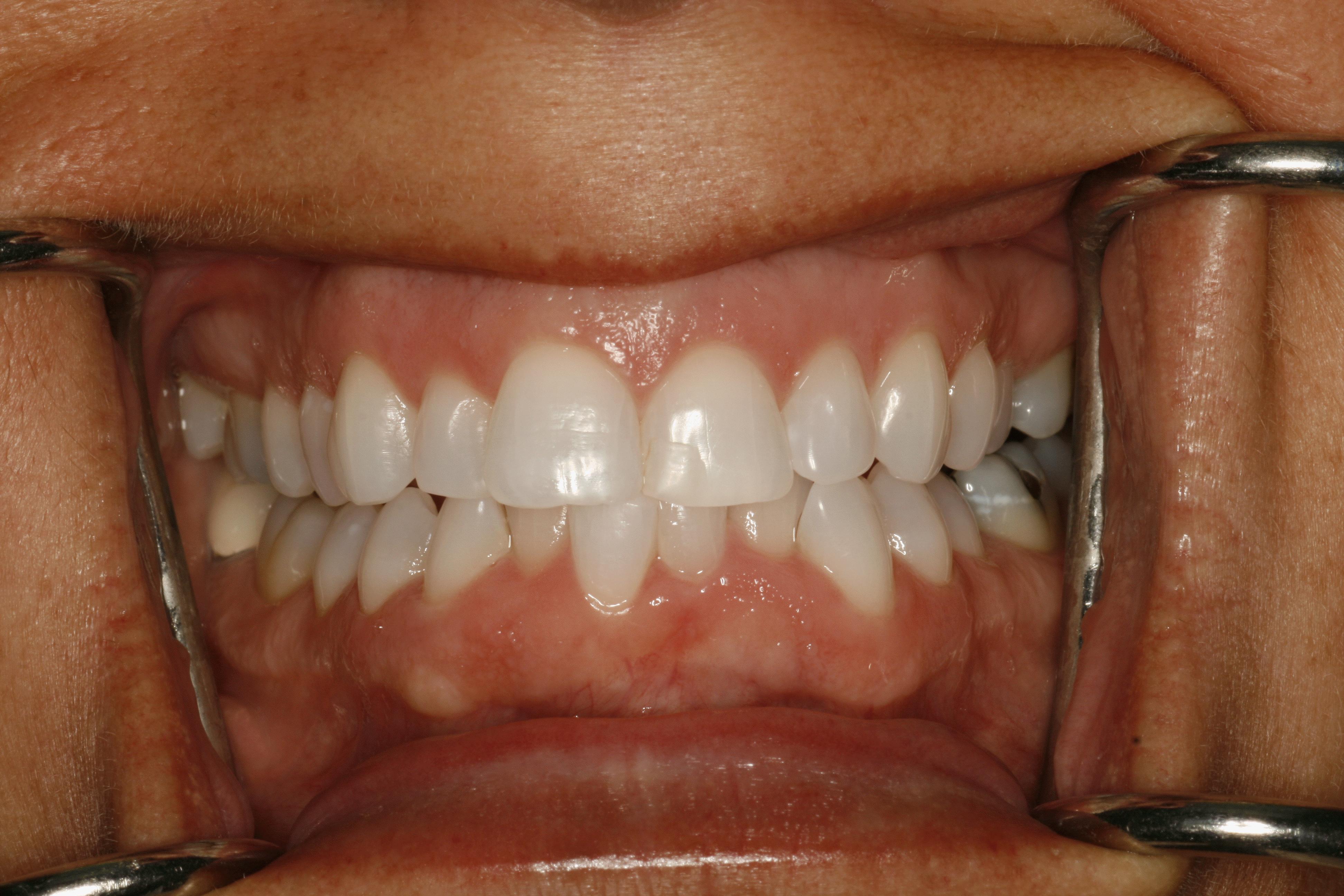
Jamie Gained Confidence After Getting Her Tooth Shifted and Her Smile Aligned
Before & After images From Real Cases
How Does Invisalign Work?
Wearing your Invisalign clear aligner encourages your teeth to shift over time without the need for wires, brackets, and rubber bands.
Here’s a breakdown of the process:
1
Initial Consultation
Your journey begins with a comprehensive consultation at Ponderosa Dental Group. We assess your teeth and bite, discuss your goals, and determine if Invisalign is the right solution for you.
2
Digital Scans and Imaging
Advanced 3D imaging technology is used to create a precise digital model of your teeth. This scan helps us map out the step-by-step movements needed to achieve your ideal alignment.
3
Customized Treatment Plan
Using Invisalign’s software, we design a detailed plan that outlines how each aligner will move your teeth. You’ll even get a preview of what your smile will look like at the end of treatment.
4
Fabrication of Aligners
Your digital plan is sent to the Invisalign lab, where your custom aligners are crafted from clear, BPA-free plastic. Each aligner is uniquely made to fit your teeth and progress the treatment.
5
Fitting the First Aligners
Once your aligners arrive, we’ll fit the first set and provide you with detailed instructions on wearing and caring for them. This is your first step toward a straighter smile!
6
Daily Wear
Wear your aligners for 20–22 hours a day, removing them only for meals, drinking anything other than water, and your oral hygiene routine.
7
Weekly Aligner Changes
You’ll switch to a new set of aligners approximately every week, each designed to make incremental adjustments to your teeth.
8
Regular Checkups
Every six weeks, we’ll schedule a quick visit to monitor your progress and ensure everything is on track. These appointments are essential for assessing fit and making adjustments if needed.
9
Refinement Phase
Toward the end of your treatment, we may use additional aligners to refine your results and address any remaining adjustments.
10
Retention
Once your treatment is complete, we’ll provide a custom retainer to maintain your new smile and prevent your teeth from shifting back.
Invisalign can help you have a straighter smile and a comfortable treatment.
Benefits of Choosing Invisalign
One of the greatest advantages of Invisalign is its ability to offer effective orthodontic treatment while fitting seamlessly into your daily life. Invisalign provides a range of benefits that make it a popular choice for patients seeking a comfortable and discreet solution to straighten their teeth.
Here are some key benefits of Invisalign:
Virtually Invisible:
Invisalign aligners are made from clear plastic, making them almost unnoticeable to others. Unlike bulky traditional braces, many may not even notice you are wearing them. You can smile, talk, and go about your day with confidence.
Removable Design:
You do not have to worry about cleaning around brackets and wires. You can simply remove Invisalign for your daily brushing and flossing. You also remove your aligners when it is time to eat. This allows you to maintain your regular oral hygiene routine and enjoy all your favorite foods without restrictions.
No Food Restrictions:
Without the fuss of permanent metal wires and brackets, there’s no need to worry about what you eat or food getting stuck in your braces.
Comfortable Fit:
The smooth plastic material eliminates the irritation and discomfort often caused by metal wires and brackets.
Customized for You:
Each aligner is tailored to fit your unique smile, ensuring a precise and effective treatment plan.
Convenient Maintenance:
Cleaning your aligners is simple and requires only a gentle rinse and brushing. This helps keep them fresh and clear throughout your treatment.
Fewer Office Visits: Invisalign typically requires fewer in-office adjustments, saving you time and making it easier to fit into a busy schedule.
Predictable Results:
Advanced digital imaging and treatment planning give you a clear view of your expected results before you even start.
Reduced Treatment Time:
When used properly, an Invisalign treatment can be shorter than a traditional braces treatment. In general, it takes 1–1.5 years to straighten your teeth with Invisalign.
You can learn more about how Invisalign can benefit you personally by calling Ponderosa Dental Group. We can even show you what your smile will look like after Invisalign during our consultation.
Invisalign vs. Braces
Are you trying to decide between Invisalign and traditional braces? Understanding their differences can help you make an informed choice for your orthodontic journey. Here’s a detailed comparison:

?

-
Construction
-
Maintenance
-
Daily Life
-
Comfort
-
Cost
Traditional braces use metal brackets and wires attached to the teeth to gradually shift their position. While effective, they can cause irritation inside the mouth and are very noticeable.
Invisalign, on the other hand, uses clear, custom-made aligners crafted from smooth, BPA-free plastic. These aligners are nearly invisible, offering a more discreet and comfortable experience.
Braces require regular visits to the orthodontist every 4 to 8 weeks for tightening or replacing wires. Maintenance can sometimes be uncomfortable, especially after adjustments.
Invisalign aligners are designed for easier maintenance. With fewer in-office visits—typically every 6 weeks—patients enjoy the convenience of switching at home while avoiding the pain that tightened braces can cause.
Braces are fixed to the teeth, which can make brushing, flossing, and eating certain foods challenging. Hard or sticky foods are often restricted to prevent damage to the brackets or wires.
Invisalign aligners are removable, allowing you to eat all your favorite foods without restrictions. They also make brushing and flossing as straightforward as ever, simplifying oral hygiene.
Braces may cause discomfort due to the presence of wires and brackets, which can occasionally poke or irritate the inside of your mouth.
Invisalign’s smooth aligners eliminate this risk, offering a much more comfortable option for teeth straightening.
Both Invisalign and braces are generally comparable in cost. However, pricing varies depending on the complexity of your case. At Ponderosa Dental Group, we offer flexible financing options and low monthly payments to make treatment affordable.
Whether you choose Invisalign or traditional braces, our team is here to help you achieve the smile you’ve always wanted. Schedule your consultation today at Ponderosa Dental Group to discuss your treatment options!
Invisalign for Adults and Teens
Invisalign is a versatile orthodontic solution that works for both adults and teens, making it a great option for anyone seeking a discreet way to straighten their teeth. Here’s how Invisalign caters to these different age groups:
For Adults:
- Invisalign is subtle in your smile, allowing adults to maintain confidence in social and workplace settings.
- The removable aligners fit seamlessly into busy schedules, making it easy to enjoy meals, drinks, and maintain oral hygiene routines.
- Invisalign can address a wide range of alignment issues, from minor spacing to more complex cases, helping adults achieve a healthier and more attractive smile.
For Teens:
- Invisalign aligners are designed with compliance indicators that show parents and orthodontists if they are being worn as recommended.
- Teens benefit from the flexibility of removable aligners, allowing them to continue enjoying their favorite foods and sports without restrictions.
- Clear aligners eliminate the self-consciousness often associated with traditional braces, giving teens confidence throughout their treatment.
No matter your age, Invisalign offers a customized and effective path to a straighter, healthier smile. Contact our team and meet with Dr. Dan today to find out whether Invisalign is right for you or your teen!
“Dr McFarland took the time to explain everything clearly and made sure I felt comfortable throughout the entire visit. The procedure was smooth and painless, and I truly appreciated the care and attention to detail.”
– Angel S
Invisalign FAQs
Are you still curious about Invisalign? Here are a few questions we typically get about Invisalign aligners and treatments.
How Long Does Invisalign Take?
Since everyone’s smile is different, Invisalign results can vary. Typically, Invisalign can take anywhere from 6 months to a year or longer, though you may begin to see results in as short as a few weeks! For best results, follow your Invisalign doctor’s recommendations for how long you should wear your aligner.
Does Invisalign Hurt?
When it comes to repositioning your teeth, some mild discomfort can occur. However, Invisalign is known to cause less discomfort than traditional braces by applying gentle yet powerful force on your teeth. Additionally, Invisalign saves your mouth from the poking and prodding of traditional metal braces.
What Happens if I Lose an Aligner?
If you lose an aligner, don’t panic. Contact our office right away so we can provide a replacement and ensure your treatment stays on track. In the meantime, you may need to wear your previous aligner to prevent regression.
Can I Eat or Drink with Invisalign?
Aligners should be removed before eating or drinking anything other than water. This prevents staining and keeps your aligners in top condition. After eating, be sure to brush your teeth before putting your aligners back in.
How Do I Clean My Invisalign Aligners?
Keeping your aligners clean is easy. Rinse them with lukewarm water and gently brush them with a soft toothbrush. Avoid using hot water or harsh cleaning agents, as these can warp or damage the aligners.
Does Insurance Cover Invisalign?
Dental insurance plans vary, but many cover Invisalign the same way they cover traditional braces. It’s best to check with your personal insurance provider to discuss what costs your dental plan covers.
How Do I Get Invisalign?
The first step is to meet with Dr. Dan at Ponderosa Dental Group for a consultation. After evaluating your teeth and smile goals, he can help you figure out if Invisalign is the best choice to help you meet your goals. If clear aligners are the choice for you, we’ll capture some digital impressions of your teeth to send to our Invisalign labs to get started on designing your set of custom clear aligners.
Why Choose Ponderosa Dental Group for Your Invisalign Treatment?
At Ponderosa Dental Group, we strive to provide exceptional care and an outstanding patient experience. Here’s why our patients trust us for their Invisalign treatment:
Expertise You Can Count On:
Our team has extensive experience in Invisalign treatment and stays up-to-date on the latest advancements in orthodontic care. We’re committed to delivering precise and effective results.
Personalized Treatment Plans:
Every smile is unique, and so is our approach. We customize your Invisalign treatment to address your specific needs and goals, ensuring the best possible outcome.
Comfortable and Relaxing Environment:
We’ve designed our office to make you feel at ease. From friendly staff to a welcoming atmosphere, we aim to make every visit enjoyable.
Advanced Technology:
Using state-of-the-art 3D imaging and digital scans, we create accurate and efficient treatment plans tailored to you.
Flexible Payment Options:
We believe everyone deserves a confident smile. That’s why we offer flexible financing and work with you to make your treatment affordable.
Comprehensive Care:
From your initial consultation to the final retainer, we’re with you every step of the way, providing support and guidance throughout your Invisalign journey.
Join the countless patients who have transformed their smiles with Invisalign at Ponderosa Dental Group. Contact us today to schedule your consultation and take the first step toward a healthier, more confident smile!
Get the Straight Smile of Your Dreams!
At Ponderosa Dental Group, we know the value of a straight smile. Take the first step toward getting a smile you’re proud to share. Sign up for a virtual appointment today via the Smile Virtual app to ask us about Invisalign treatment options. Let’s talk about transforming your smile with help from one of Missoula’s best dentists, Dr. Dan.





















